TÜRK AJANSI KIBRIS

Türkiye
02.11.2025 - 11:41:18
İleri evre akciğer kanserinde "yenilikçi tedavi" dönemi

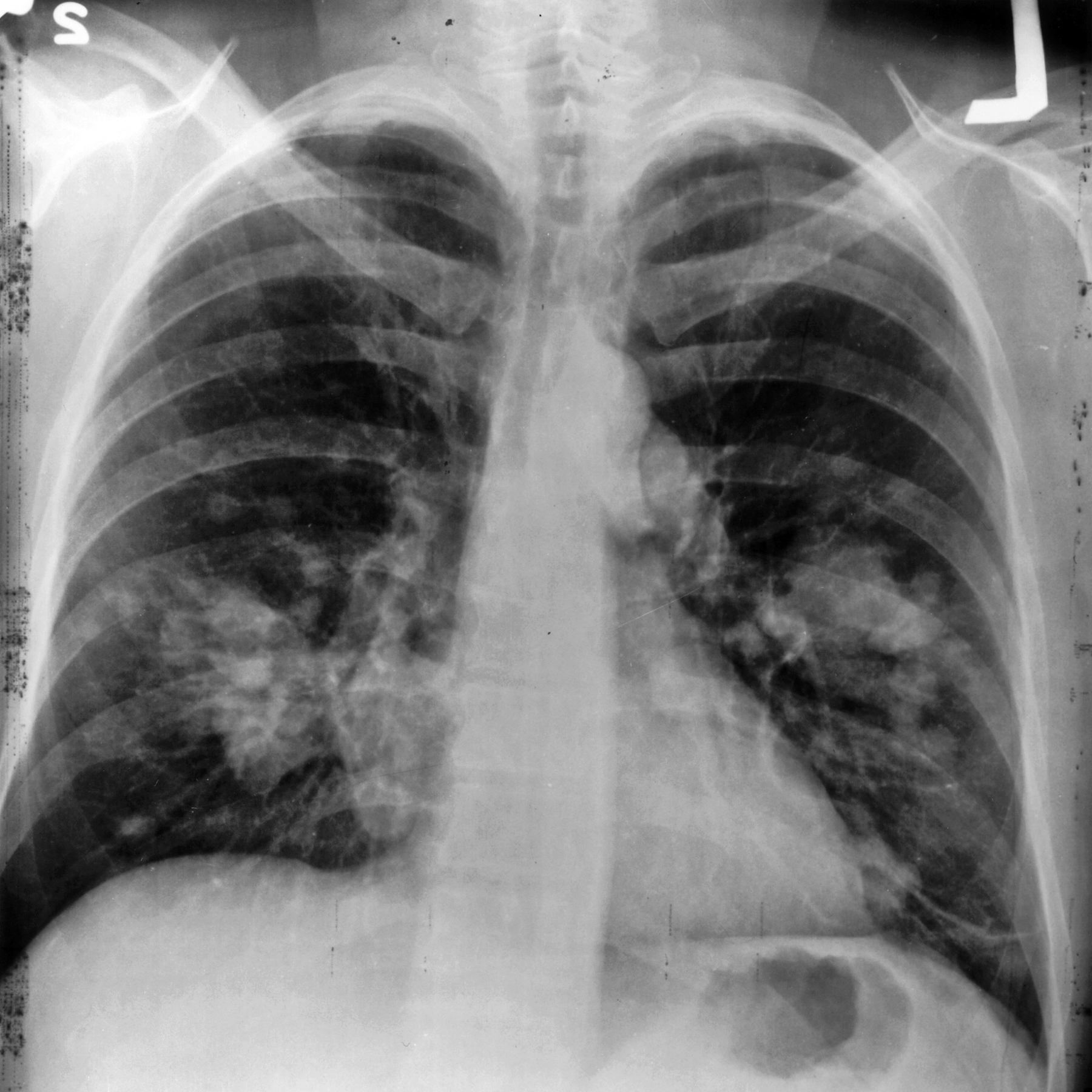
Akciğer kanserinde bağışıklık sisteminden kaçan tümörlerin tanınmasını ve yok edilmesini sağlayan yeni "immünoterapi" yöntemiyle, özellikle ileri evre küçük hücreli akciğer kanseri hastalarında ortalama yaşam süresinin arttığı belirtildi
Ege Üniversitesi Tıp Fakültesi Öğretim Üyesi Tıbbi Onkoloji Uzmanı Prof. Dr. Erdem Göker:  "Bilimsel veriler, 'atezolizumab' etken maddesini içeren tedavinin, ileri evre akciğer kanseri hastalarında yaşam süresini ortalama 6-8 ay kadar uzattığını göstermektedir. Bazı hastalarda bu süre çok daha uzun olabilmekte ve tedaviye yanıt yıllarca sürebilmektedir"

İzmir, 2 Kasım 25 (TAK): Bağışıklık sistemini harekete geçirerek tümörün yok edilmesini esas alan immünoterapi yöntemlerinin, özellikle metastaz (yayılma) yapmış ileri evre akciğer kanseri hastalarının ortalama sağ kalım süresini arttırdığı ve yaşam kalitesini yükselttiği belirtildi.

İçeriğin devamı için abone olmanız gerekmektedir.